
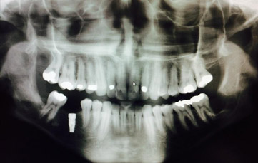
This patient presented to clinicians office for exam and possible removal of wisdom teeth 2008. There was an associated radiolucency with wisdom tooth right side. The patient was informed to wait for teeth to erupt or discomfort before removal.

The patient was lost to follow up and had no further Full images taken until 2012. There we can see radiolucency associated with right wisdom tooth extending completely ascending up right mandible approximately 6cm.The patient had an incisional biopsy under local anesthetic.In the differential diagnosis, a odontogenic keratocyst, central giant-cell granuloma, and unicystic ameloblastoma can mimic a dentigerous cyst. The return Diagnosis was Dentigerous Cyst. Rarely, some untreated dentigerous cysts develop into an odontogenic tumor (e.g., ameloblastoma) or a malignancy (e.g., oral squamous cell carcinoma). To avoid such complications, marsupialization and surgical enucleation of the cyst lining was the treatment of choice for this cyst.

This is a 3D reconstruction displaying the gross damage to the patients right side of Jaw/mandible.

CT scan in Sagital, Coronal and Axial Cuts depicting the size and location of pathology.

CT scan in Sagital, Coronal and Axial Cuts depicting the size and location of pathology.

CT scan in Sagital, Coronal and Axial Cuts depicting the size and location of pathology.

CT scan in Sagital, Coronal and Axial Cuts depicting the size and location of pathology.

CT scan in Sagital, Coronal and Axial Cuts depicting the size and location of pathology.

CT scan in Sagital, Coronal and Axial Cuts depicting the size and location of pathology.

CT scan in Sagital, Coronal and Axial Cuts depicting the size and location of pathology.

The patient following of several months continued care and marsupialization with enucleation. 7cm cyst lining.

Final slide depicts area in question with bone graft and implant placement in area #30.
My name Is Judith O. I had the pleasure to meet Dr. Luis Craig when I was having problems with my vision, my skin wouldn’t allow me to open my eyes or see peripherally completely. My Optometrist suggested I should have “bleph". I was referred to Dr Craig, an excellent person and a great surgeon. He performed my surgery, with no complications, and in a week nobody could tell I had anything done. Not even my Optometrist. She was happy, like me, with the outcome. My vision improved 100%. Thank you Dr Craig. May God bless you and your hands.
Sincerely, Judith, O
Luis T. Craig, DMD, is an oral and maxillofacial surgeon and owner of South Houston Oral, Facial & Implant Center located at 2537 Houston Avenue, Pearland, TX and 4010 Vista Road, Suite B, Pasadena, TX. His practice can be reached by calling 713-947-8832.